Bislang galten Mineral Trioxid Aggregat (MTA) Zemente als zu kostspielig für den Einsatz in der täglichen Praxis. Gerade bei Standardfällen wie der direkten Füllungstherapie bei tiefen kariösen Läsionen konnte sich diese moderne Materialklasse trotz ihrer bekannten Vorteile nicht nachhaltig durchsetzen. Das hat sich mit dem neuen Zement MTA vpt von VOCO geändert, der sowohl als Handmischvariante wie in der Kapsel verfügbar ist.
MTA-Materialien gelten als Benchmark in Sachen Biokompatibilität. Sie binden durch die Zementreaktion zu einer zuverlässig stabilen Schicht ab und setzen Kalzium- und Hydroxid-Ionen frei, was die Bildung von neuem Hartgewebe und die Selbstregeneration der Pulpa unterstützt. Der dabei entstehende hohe pH-Wert ist für seine bakteriostatische Wirkung bekannt und fördert die Remineralisierung. In der Forschung werden auch die sehr guten Versiegelungseigenschaften des Materials auf die Ionenabgabe und eine darauffolgende Kalziumphosphat-Bildung zurückgeführt. Zahlreiche Studien zu MTA-Materialien, die chemisch als kalziumsilikatbasierte Zemente bezeichnet werden, belegen auch deren verlässlich hohe klinische Erfolgsquote für die Vitale Pulpa Therapie (VPT).
MTA vpt von VOCO, hauptsächlich bestehend aus Trikalziumsilikat, weist alle diese Vorteile der Materialklasse auf und schafft so eine langfristige, stabile und dichte Versiegelung – die optimale Grundlage zum Vitalerhalt der Pulpa.
Gemäß seinen Indikationen kann MTA vpt in Fällen von tiefen kariösen Läsionen oder bei traumatisch bedingter Pulpa-Eröffnung angewendet werden, ohne Verfärbungen zu verursachen. Ebenso unterstützt MTA vpt die Ziele des Kariesmanagements und der darauf aufbauenden VPT.
Füllungsaufbau und Handling
MTA vpt wird direkt auf das unkonditionierte Dentin aufgetragen. Bei exponierter Pulpa erfolgt, sofern nötig, zunächst eine Blutstillung. Dann werden das Pulpagewebe und das daran angrenzende Dentin mit MTA vpt bedeckt. Anschließend kann sofort drucklos mit einem lichthärtenden Flowable oder fließfähigen Glasionomer Zement überschichtet und die Füllungslegung standardmäßig mit vorheriger Konditionierung abgeschlossen werden (s. Fallbeispiel).
Dauerhaft haltbar
Geringe Löslichkeit und hohe Druckfestigkeit sind wichtige Indikatoren für die dauerhafte Stabilität von MTA-Zementen. MTA vpt weist darin besonders gute Werte auf und sichert so die Langlebigkeit des gesamten Füllungsaufbaus. Über eine mehrstufige Zementreaktion härtet MTA vpt zu einer verlässlich stabilen Abdeckung aus. Für die optimale Röntgensichtbarkeit ist mit einer Opazität von 290 % Al gesorgt.
Bilder und Bildunterschriften
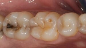
Abbildung 1: Ausgangssituation. Initiale klinische Präsentation einer ausgeprägten, kavitierten, kariösen Läsion an Zahn 37, mit Symptomen einer reversiblen Pulpitis.
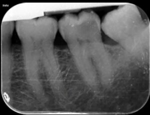
Abbildung 2: Die präoperative intraorale Röntgenaufnahme von Zahn 37 zeigt die bis an die Pulpa angrenzende distale Ausdehnung der kariösen Läsion.
Abbildung 3: Direkte Überkappung der eröffneten Pulpa an Zahn 37 mit MTA vpt am zentralen Kavitätenboden.
Abbildung 4: Präzise Platzierung von GrandioSO Heavy Flow (Farbe WO) zur Versiegelung von MTA vpt unmittelbar nach der Applikation.
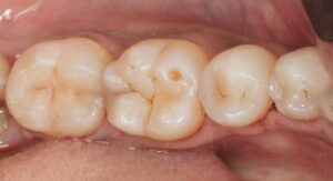
Abbildung 5: Unmittelbares postoperatives Ergebnis der vollständigen Restauration an Zahn 37.
Quelle/Korrespondenzadresse:
Dr. Ashish Soneji
Queen Square Dental Clinic
Bristol, Vereinigtes Königreich







