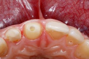
Die Basis für eine perfekte Abformung ist ein eröffneter und trockener Sulkus. Mit der VOCO Retraction Paste, die direkt aus dem Caps in den Sulkus appliziert wird, bringt der Cuxhavener Hersteller jetzt ein Produkt für die effektive temporäre Eröffnung und Trockenlegung des Sulkus auf den Markt, das gleichzeitig die ideale Ergänzung zum Präzisionsabformmaterial V-Posil darstellt. VOCO Retraction Paste bietet die Voraussetzung für eine erfolgreiche klassische oder auch digitale Präzisionsabformung sowie für Kavitätenpräparationen bei Klasse II und V Füllungen aber auch für definitives und temporäres Zementieren von Restaurationen.
Dabei überzeugt die Retraktionspaste nicht nur im Ergebnis, sondern auch mit ihrem Handling: So gibt die Farbe einen guten Kontrast zur Gingiva, was insbesondere die Arbeit an schwer einsehbaren Stellen erleichtert. Dank der sehr schmalen und leicht biegsamen Kanüle lässt sich das Material sowohl gut dosieren als auch applizieren. Hierbei ist die Paste leicht auszudrücken und punktet anschließend mit einer sehr guten Fließviskosität bei gleichzeitiger Standfestigkeit zur Eröffnung des Sulkus.Bei der Applikation füllt die adstringierend wirkende, aluminiumchlorid haltige Paste temporär den Sulkus, stoppt etwaige Blutungen und verdrängt Feuchtigkeit.
Auch Patientinnen und Patienten profitieren von zahlreichen Vorteilen: So benötigt VOCO Retraction Paste lediglich eine kurze Einwirkzeit, ist geschmackneutral und lässt sich einfach und vollständig abspülen.
Die Paste kann als Alternative oder in Kombination z.B. mit Retraktionsfäden verwendet werden. Dabei ist die Nutzung klassisch oder digital mit Intraoralscanner möglich. Weichgewebsmanagement ist auch für entsprechende Füllungen der Klassen II und V sowie beim definitiven und temporären Zementieren von Restaurationen oft der Schlüssel zum Erfolg, insbesondere bei der Adhäsiv-Technik mit wenig feuchtigkeitstoleranten Produkten.
/// Hygienische SingleDose
Die VOCO Retraction Paste lässt sich einfach und hygienisch direkt aus dem SingleDose Cap, einer Eigenentwicklung von VOCO, in den Sulkus applizieren. Vorteile der SingleDose: Jeder Patient erhält sein ganz eigenes Präparat. Drittkontakte und weitere Kontaminationsmöglichkeiten werden so auf einfachem Wege unterbunden.
Dabei ist das SingleDose Cap mit handelsüblichen Composite-Dispensern wie beispielsweise dem VOCO Caps Dispenser kompatibel und reicht für bis zu 3 Sulki.
– KONTAKT
VOCO GmbH
Anton-Flettner-Straße 1-3
27472 Cuxhaven
Telefon: 04721/719-0
Telefax: 04721/719-109
E-Mail: info@voco.de
Internet: www.voco.dental




