
Periimplantitis ist die Hauptursache für Implantatverluste, sowohl in der ersten Zeit nach der Implantation als auch mehrere Jahre nach der erfolgreichen Osseointegration des Implantats.
Prof. Georges Tawil
In den letzten zwanzig Jahren wurde eine Vielzahl von Chemotherapeutika entwickelt, um Periimplantitis zu verhindern oder zu behandeln. Chlorhexidin, H2O2, Zitronensäure, EDTA, Antibiotika und Jod wurden in verschiedenen klinischen und experimentellen Studien getestet. Keines dieser Medikamente erwies sich bei der Beseitigung des bakteriellen Biofilms, der die Poren und Rauigkeit der Implantatoberfläche besiedeln, als vollständig wirksam.
Darüber hinaus wurde in anderen wissenschaftlichen Veröffentlichungen darauf hingewiesen, dass diese Medikamente Rückstände auf der Implantatoberfläche hinterlassen oder die Implantatoberfläche verändern, was letztlich die zelluläre Reaktion während der Heilung beeinträchtigen kann.
Im folgenden Fallbericht verwendeten wir OXYSAFE Professional Gel, einen sauerstofffreisetzenden Komplex, der orale Bakterien abtötet und vor allem gegen gram-anaerobes Bakterium wirksam ist. OXYSAFE basiert auf einer patentierten Sauerstofftechnologie, die aktiven Sauerstoff an der zu behandelnden Stelle freisetzt. Es handelt sich um einen Kohlenwasserstoff-Oxoborat-Komplex, der bei Kontakt mit der Schleimhaut in Kombination mit Speichel aktiviert wird. Dieser Komplex wirkt wie eine Matrix, die den aktiven Sauerstoff freisetzt.
Im nachfolgenden Fallbericht wurde folgendes Protokoll befolgt: Der betroffene Bereich wird mittels Lappenchirurgie, gefolgt von einer gründlichen Kürettage des entzündeten Gewebes behandelt. Der Bereich wird mit sterilem Wasser besprüht. Dann erfolgt die Einlage von OXYSAFE-Gel – es wird für 5 Minuten auf die kontaminierte Implantatoberfläche aufgetragen. Der Bereich wird anschließend mit NaCl- und H2O2-Lösungen (10 Vol.) gespült. Eine zweite 5-minütige Anwendung von OXYSAFE-Gel wird durchgeführt. Der Bereich wird mit sterilem Wasser abgespült. In den periimplantären Knochendefekt wird sodann vorsichtig ein Knochenersatzmaterial eingebracht und mit einem Kollagenfleece abgedeckt. Anschließend wird der Lappen koronal vernäht.
/// Fallbericht
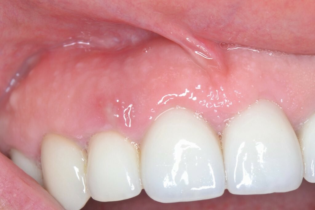
Wir behandelten in unserer Praxis einen Patienten, der über Schmerzen klagte, die durch eine Abszessbildung in Implantatregion 12 verursacht wurden. Das Implantat war ein Jahr zuvor von seinem Allgemeinzahnarzt inseriert worden.
Klinisch und radiologisch zeigte sich eine Entzündung mit Schwellung des Weichgewebes und Pusabsonderung auf Druck. Die Taschentiefe betrug 5-6 mm, der periimplantäre Knochenverlust betrug 3 mm.
Es wurde eine Periimplantitis diagnostiziert und eine Behandlung empfohlen.
Wir beschlossen, den Fall chirurgisch anzugehen, um die Infektion zu beseitigen und den periimplantären Defekt zu behandeln.
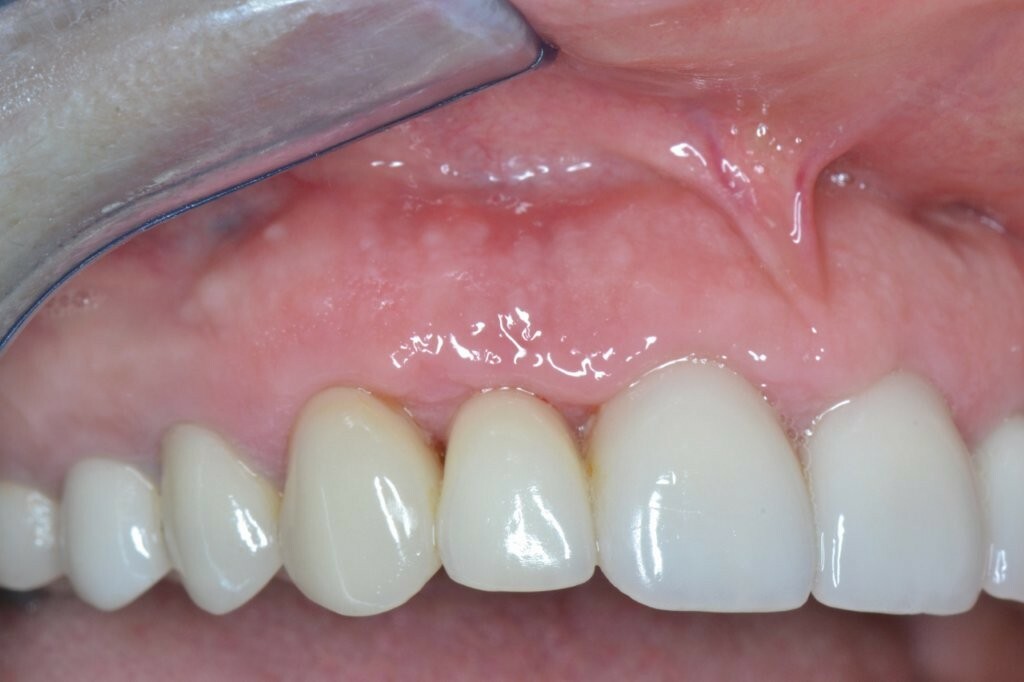
Ein Minilappen wurde sowohl bukkal als auch palatinal am Implantat unter Einbeziehung der beiden Nachbarzähne gebildet. Das entzündete Gewebe wurde kürettiert, wobei wir einen 3 mm großen horizontalen Defekt mit einem stärkeren Knochenverlust auf der bukkalen Seite feststellten. Gemäß des zuvor beschriebenen Protokolls erfolgten zwei aufeinanderfolgende 5-minütige Anwendungen von OXYSAFE-Gel. Der Defekt wurde vorsichtig mit einem Xenotransplantat aufgefüllt und mit einem Kollagenvlies abgedeckt, der Lappen anschließend koronal mit einer Kopfnaht vernäht.
Der Patient erhielt fünf Tage lang eine antibiotische Abdeckung (Augmentin, 2 x täglich 1g); Schmerzmittel nach Bedarf (Ibuprofen 600mg) und die OXYSAFE-Mundspülung für zwei Wochen.

Die Nähte wurden zehn Tage später entfernt. Der Patient klagte über leichte Schmerzen nach der Operation, die sich mit dem verschriebenen Schmerzmittel gut kontrollieren ließen.
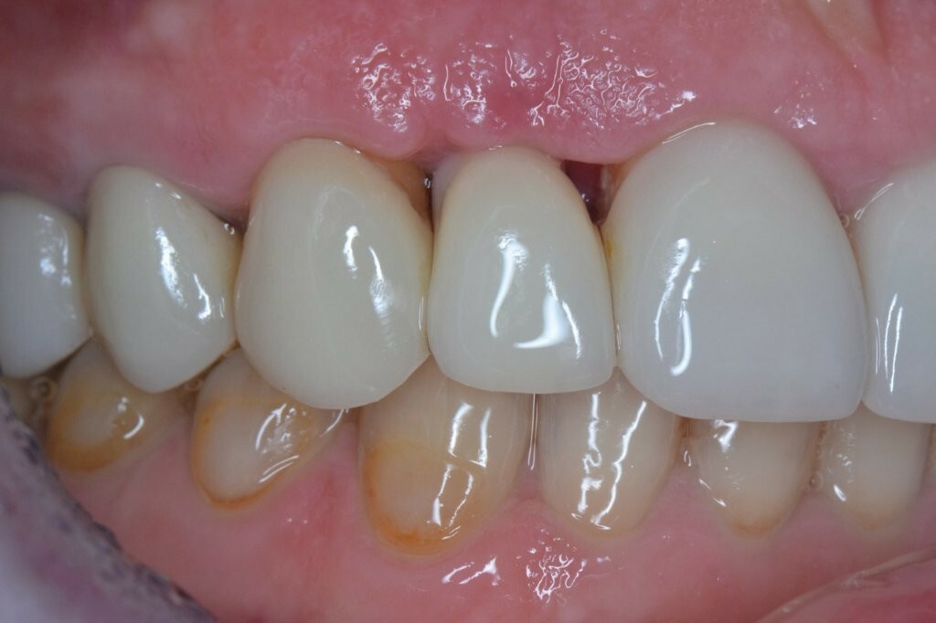
Sieben Wochen später wurde bei dem Patienten eine Kontrolluntersuchung durchgeführt. Zwar heilte die Wunde komplikationslos, die mesialen und distalen Papillen fehlten jedoch noch immer.
Dem Patienten wurde geraten, die OXYSAFE-Mundspülung einen weiteren Monat lang zu verwenden. Eine weitere Nachuntersuchung nach sechs Monaten zeigte eine ausgezeichnete Heilung des Weich- und Hartgewebes sowie eine schöne Regeneration der angrenzenden Papillen.
– AUTOR
Prof. Georges Tawil, Beirut (LB)
– KONTAKT
Hager & Werken GmbH & Co.KG
Ackerstraße 1
47269 Duisburg
www.hagerwerken.de
/// Über den Autor
Prof. Georges Tawil, Professor Emeritus St. Joseph Universität Beirut, Libanon
- 1949 Geboren im Libanon
- 1967 – 1972D.D.S. St. Joseph Universität Beirut
- 1972 – 1975Postgraduiertenstudium an der Universität Paris VI in Parodontologie und Oralchirurgie
- 1975 – 1977Lehrbeauftragter an der Universität von Pennsylvania, USA
- 1980Erlangung des Doktortitels D.Od.Sc an der Universität Paris
- 1977 – 2015Professor an derUniversität St. Joseph, Abteilung für Parodontologie
- Und bis zum heutigen Tag: Privatpraxis Beirut Dental Specialists Clinic









