Interdisziplinäre Zusammenarbeit gefragt
Totale Prothese – digital versus analog
In dem vorliegenden Beitrag schildert der Autor seine langjährigen praktischen Erfahrungen auf dem Gebiet der Totalprothetik und geht dabei insbesondere auf die technischen Vorgehensweisen ein, die im Verlauf der prothetischen Versorgung von Bedeutung sind. Unter Einbeziehung kritischer Reflexionen werden zentrale Arbeitsschritte – von der präzisen Abformung über die Modellherstellung bis hin zur funktionellen Gestaltung und ästhetischen Ausarbeitung – differenziert dargestellt.
ZTM Sigmund Opferkuch
Durch die Verbindung von praktischer Erfahrung und analytischer Betrachtung leistet der Autor einen Beitrag zur Vertiefung des fachlichen Diskurses und möchte Anregungen für eine qualitätsorientierte Umsetzung in der zahnmedizinisch-technischen Praxis geben.
Die Versorgung eines zahnlosen Patienten gehört zur Königsdisziplin der Zahntechnik. Sie erfordert nicht nur umfassendes Wissen, sondern auch langjährige praktische Erfahrung.
Früher wurde die sogenannte „Kassenprothese“ nach dem BEL-II-System in einem standardisierten und wirtschaftlich effizienten Verfahren im Dentallabor gefertigt. Weder Zahntechniker noch Zahnärzte waren mit dieser Versorgungsform wirklich zufrieden – vor allem aufgrund der geringen Vergütung. Auch das Interesse jüngerer Zahnärztinnen und Zahnärzte hielt sich in Grenzen. Nicht selten mangelte es an der nötigen Ernsthaftigkeit in der Umsetzung, was unter anderem darauf zurückzuführen ist, dass die Versorgung mit Totalprothesen in der Ausbildung kaum noch vermittelt wird.
/// Totale Prothese: Anspruch an zahnärztliches Wissen
Die Herstellung einer Totalprothese setzt auch auf zahnärztlicher Seite tiefgehendes Fachwissen voraus. Doch stellt sich die Frage: Ist dieses Wissen heute noch in ausreichendem Maß vorhanden?
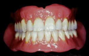
In vielen Fällen eher nicht – stattdessen wird häufig auf eine implantatgestützte Versorgung ausgewichen. Diese ist zwar wirtschaftlich lukrativer, stellt jedoch insbesondere für ältere, motorisch eingeschränkte Patienten eine große Herausforderung dar: Die Reinigung ist aufwendig, und in Pflegeeinrichtungen droht der Versorgung oft ein abruptes Ende. (Abb. 1)
/// Pioniere der Totalprothetik
Wenige Persönlichkeiten haben die moderne Totalprothese so geprägt wie Prof. Dr. Alexander Gutowski aus Schwäbisch Gmünd. Gemeinsam mit seinen amerikanischen Mentoren, unter anderem dem Dänen Prof. Dr. Dr. Arne Lauritzen (tätig in den USA), entwickelte er Konzepte, die bis heute Gültigkeit haben.
Eine zentrale Rolle spielt bei Gutowski die funktionelle Gestaltung des Prothesenrands – sie wird durch die präzise Herstellung spezieller Funktionslöffel mit Außen- und Innenventil erreicht. Dazu wird GC Bite Compound thermoplastisch erwärmt und der funktionelle Prothesenrand sorgfältig modelliert.
Als abschließender Schritt wird im Bereich der AH-Linie eine dünne Schicht Aluwachs aufgetragen, und der Funktionslöffel erneut in den Mund eingebracht. Auf diese Weise werden alle relevanten Arbeitsschritte zur Erzielung einer optimalen Saugwirkung umgesetzt. (Abb. 2-3)
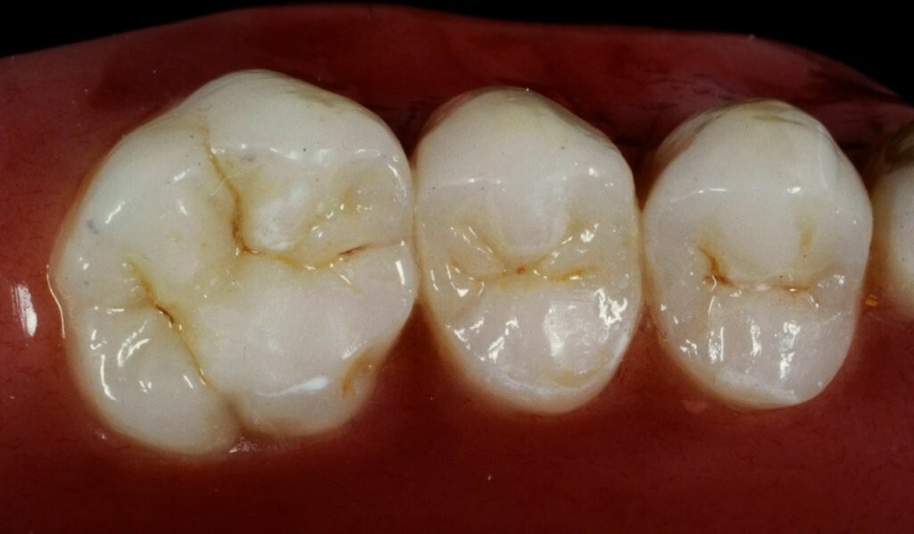
Anschließend wird das Meistermodell erstellt. (Abb. 4-5)
Der Funktionslöffel kann später zum Träger für weitere Einproben sowie zur Bissnahme umfunktioniert werden. (Abb. 6-8)
Dieses Prozedere wird sorgfältig vorbereitet, um eine perfekte Saugwirkung zu erzielen. Wie Gutowski betont: „Wenn der Träger nicht hält, hält später auch die Prothese nicht.“ Die Grundlage seines Konzepts ist das sogenannte Innenventil – ein entscheidender Faktor für den langfristigen Halt.
/// Digitaler Workflow – Wunsch und Wirklichkeit
An dieser Stelle stellt sich für mich die Frage: Kann man dieses Konzept wirklich mit einem Intraoralscanner umsetzen? Die Industrie verspricht viel, doch am Ende erweisen sich viele digitale Lösungen als unausgereifte PR-Aktionen.
/// Die Ästhetik – ein analoges Meisterstück
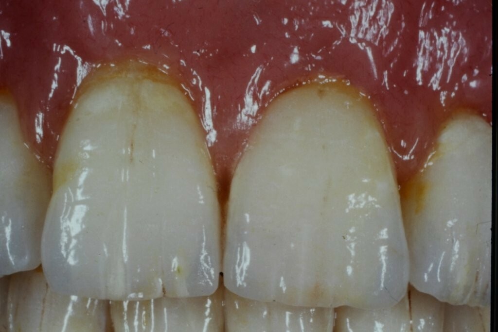
Ein weiteres zentrales Thema ist die ästhetische Gestaltung der Frontzähne. Für mich ist es unvorstellbar, wie man das digital ohne Patientenkontakt sinnvoll lösen will. Ähnlich wie in der Maßschneiderei benötigt man für eine perfekte Ästhetik den Patienten „live“ zur Anprobe. Mit der Phonetik-Einprobe nach ZTM Jürg Stuck lassen sich durch gezielte Sprachübungen und Lautanalysen die Frontzähne exakt dort positionieren, wo sie funktional und ästhetisch hingehören. (Abb. 9-10)
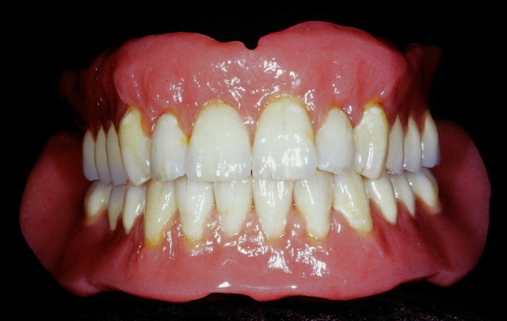
Der letzte Schritt – die Fertigstellung – verlangt ebenfalls profundes Wissen, handwerkliches Können und Zeit. Das Ergebnis ist im Idealfall ein handwerkliches Meisterwerk. (Abb. 11-12)
/// Teamwork für Lebensqualität
Durch eine enge, interdisziplinäre Zusammenarbeit zwischen Zahnarzt und Dentallabor lässt sich dem Patienten ein Höchstmaß an Lebensqualität zurückgeben: Eine Prothese mit sicherem Sitz, guter Funktion, wiedererlangter Kaufähigkeit – und einem harmonischen ästhetischen Bild, das ins Gesicht passt.
All das ist jedoch nicht zum BEL-II-Kassenpreis zu realisieren.
Und genau hier beginnt die Aufklärung: Der Patient muss verstehen, dass es sich bei einer hochwertigen Totalprothese nicht um Massenware handelt.
/// Fazit
Um die eingangs gestellte Frage zu beantworten: Bei der Totalprothese bin ich – aus voller Überzeugung – noch ganz analog unterwegs.
– AUTOR
ZTM Sigmund Opferkuch
– KONTAKT
Zahntechnisches Labor Opferkuch
Pfahlstraße 23
73433 Aalen
www.opferkuch.de
BU’s
1 Aufstellmethode nach GERBER
2-3 Der funktionelle Prothesenrand sorgfältig modelliert
4-5 Meistermodelle
6-8 Der Funktionslöffel wird für weitere Einproben sowie zur Bissnahme umfunktioniert
9-10 Exakte Platzierung der Frontzähne
11-12 Die Fertigstellung- Das Ergebnis ist ein Handwerkliches Meisterwerk.
13 ZTM Sigmund Opferkuch












