Form, Oberfläche, Ästhetik
Vollkeramikkronen mit der Maltechnik ästhetisch und wirtschaftlich umgesetzt

In diesem Bericht erläutere ich ausführlich die Herstellung hochästhetischer Vollkeramikkronen unter Anwendung der Maltechnik. Der Schwerpunkt liegt dabei auf der modernen Umsetzung monolithischer Kronen – einem innovativen Verfahren, das sich zunehmend in der zeitgemäßen Zahnmedizin etabliert.
ZTM Axel Seeger
/// Standard oder individuell
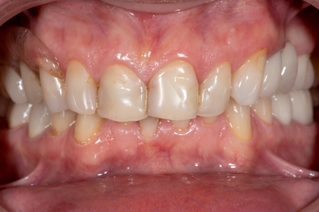
Bieten Sie Ihren Patienten einen spürbaren Mehrwert – und zeigen Sie dies auch anhand von Fotos, um die Möglichkeiten der Versorgung zu verdeutlichen (Abb. 1 – 4).
Der Kronenrand muss genau passen – das ist die Basis jeder hochwertigen Versorgung. Für eine perfekte farbliche Gestaltung des Zahnersatzes bedarf es jedoch viel Erfahrung sowohl beim Zahnarzt als auch beim Zahntechniker, um die Krone harmonisch in das bestehende Gebiss einzufügen.
Früher war die Herstellung einer Krone mit keramischen Materialien nicht einfach. Durch meine langjährige Erfahrung als Keramiker konnte ich wertvolles Wissen sammeln – sowohl national als auch international.
Heute stehen Wirtschaftlichkeit und ein vereinfachter Prozess im Vordergrund, was Ihrer Praxis klare Vorteile bringt.
/// Patientenfälle
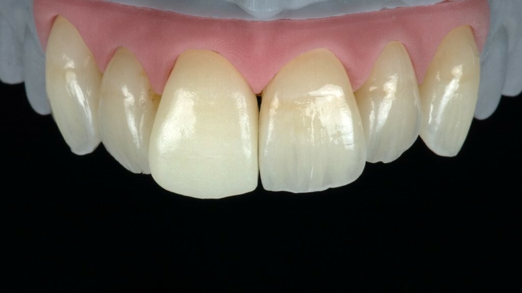
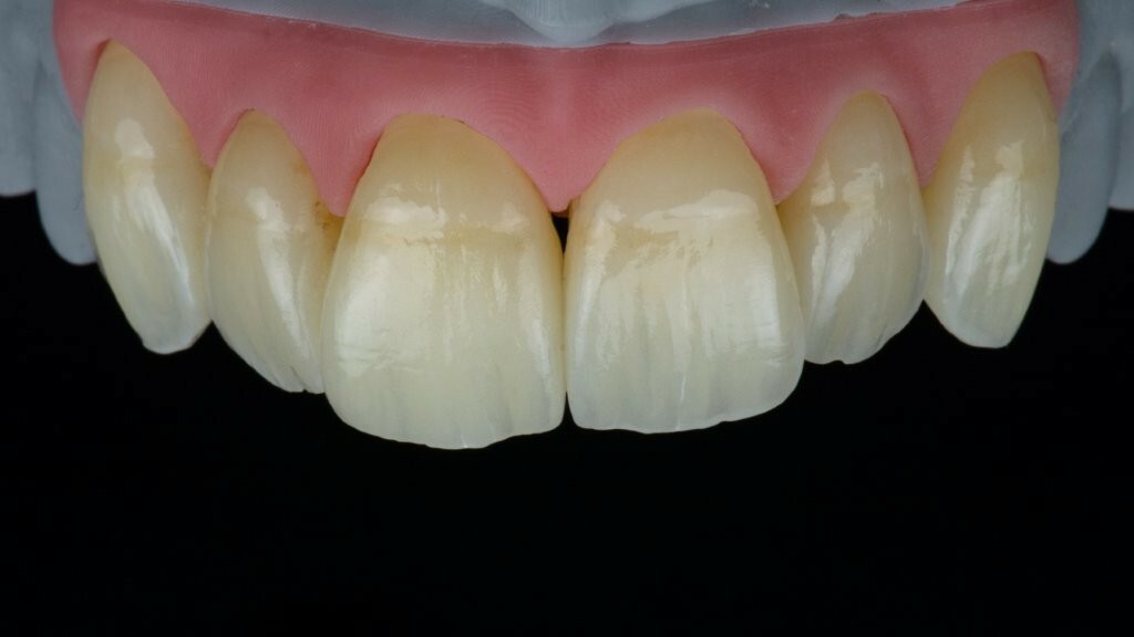
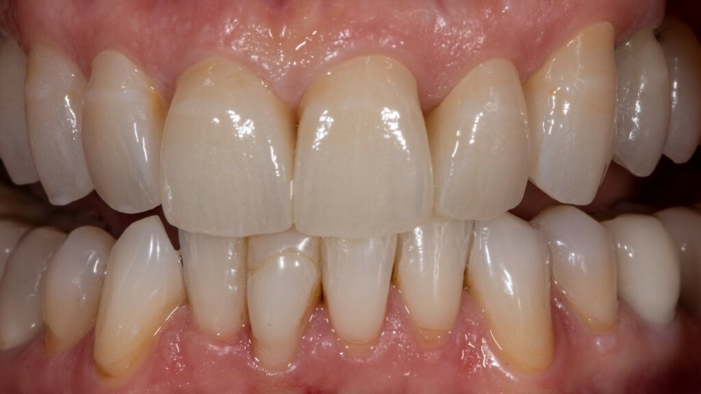
Ein besonders spannender Fall zeigt die Kombination von Veneers und Vollkeramikkronen, bei dem jede Restauration individuell bemalt wurde. Durch diese detaillierte Gestaltung konnte ein harmonisches und ästhetisch überzeugendes Endergebnis erzielt werden (Abb. 5 – 6).
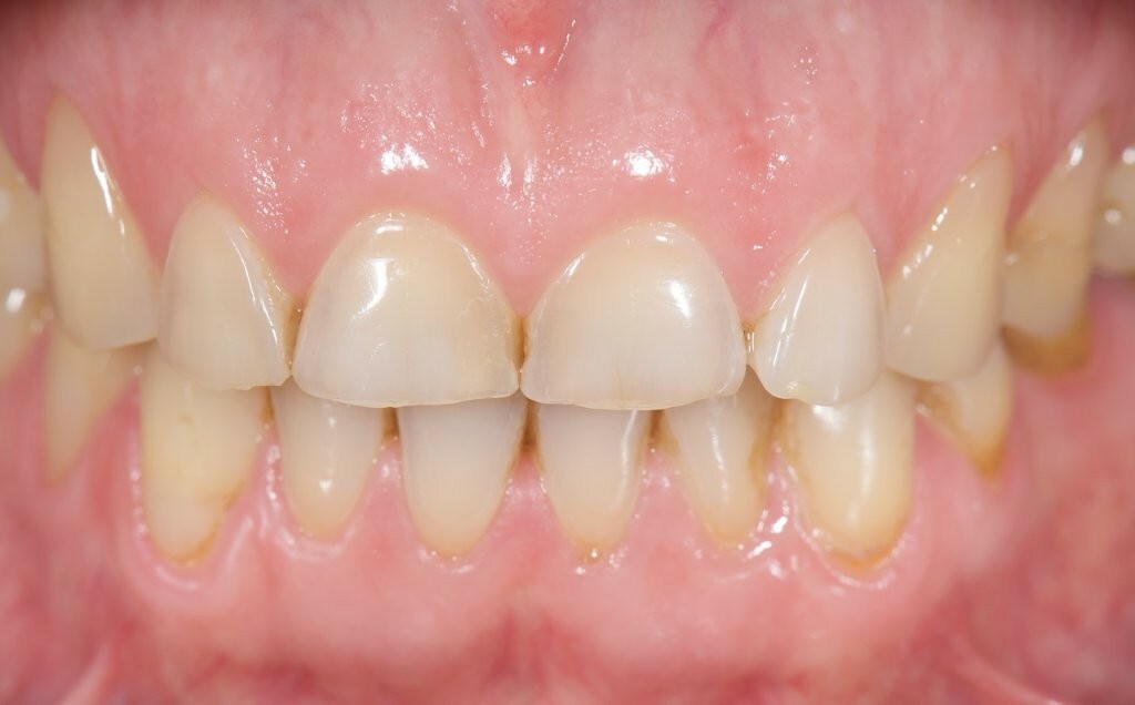
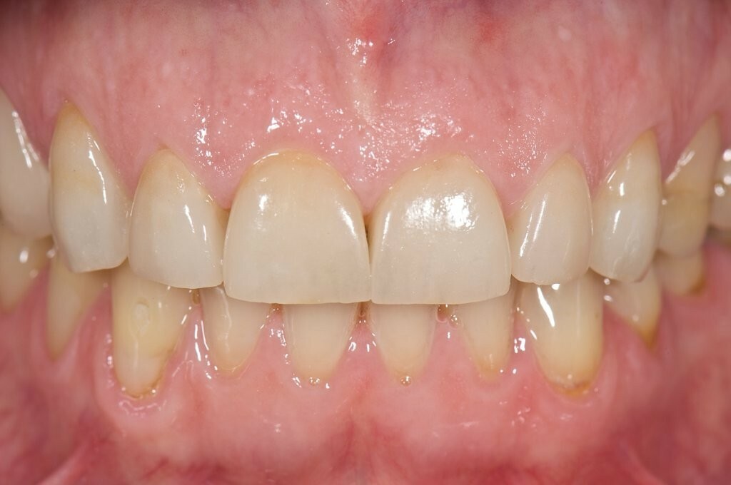
Im Rahmen einer umfangreichen Oberkiefersanierung wurde zusätzlich das Implantat auf Zahn 14 in die Behandlung integriert. Sämtliche Versorgungen wurden mit hochästhetischen Vollkeramikkronen aus Zirkondioxid realisiert und sorgfältig koloriert. Das Resultat überzeugt sowohl funktionell als auch optisch und demonstriert die Möglichkeiten moderner dentaler Rekonstruktionen (Abb. 7 – 8).
/// Fazit
Heute ist es möglich, eine innovative Maltechnik ästhetisch und wirtschaftlich optimal zu kombinieren. Mit dieser neuen Methode lässt sich in der Praxis ein deutlicher wirtschaftlicher Vorteil erzielen.
In meinem Tageskurs haben Ihre Zahntechniker die Gelegenheit, diese erfolgreiche Technik praxisnah zu erlernen.
/// Monolithic workbook
Dieses Buch behandelt alle zentralen Aspekte der Herstellung ästhetischer Vollkeramikkronen: von Materialauswahl, Formgebung und Oberflächengestaltung über Maltechniken bis hin zu zahlreichen Patientenfällen. (Abb.9)
/// Tages-Kursarbeit
– Jugendliche und ältere Frontzähne
– Form, Oberfläche und die Maltechnik
– Ästhetik wirtschaftlich umgesetzt (Abb.10)
– AUTOR
Axel Seeger, ZTM
– KONTAKT
Keramik Art, ZTM Axel Seeger
Goldenes Horn 20
12107 Berlin
www.axelseeger.com









