Adhäsive Befestigung einer implantatgetragenen Krone auf einem Ti-Base Abutment mit Bifix Hybrid Abutment – ein klinischer Fallbericht
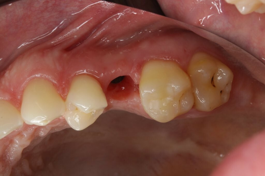
Ein Patient mit einem gepflegten Gebiss in eugnather Verzahnung (Abb. 1) stellte sich aufgrund einer Kronen-Wurzelfraktur an Zahn 25 in der Praxis vor. Die Untersuchung ergab, dass der Zahn aufgrund einer Fraktur des palatinalen Höckers mit subkrestalem Frakturverlauf (Abb. 2) nicht erhaltungswürdig war.
Nach der Zahnextraktion wurden dem Patienten mehrere Therapieoptionen vorgestellt. Er entschied sich für ein Titanimplantat, auf dem eine vollkeramische Krone aus Lithiumdisilikat (IPS e.max CAD, Ivoclar Vivadent) befestigt werden sollte.
Zu Beginn wurde das Einzelzahnimplantat (Conelog ScrewLine Titanimplantat, 3,8 x 9,0 mm, Camlog) in Regio 25 gesetzt, geschlossen eingeheilt und nach Freilegung mit einem Gingivaformer (Conelog Gingivaformer, wide body, 3,8 x 6,0 mm, Camlog) versehen (Abb. 3). Mithilfe eines VITA-Farbschlüssels (VITA Zahnfabrik) wurde für die spätere Krone die Farbe A3 bestimmt (Abb. 4).
Nach Entfernung des Gingivaformers (Abb. 5) wurde ein Scan-Body (NT-Trading) eingesetzt, um die klinische Situation mit dem Intraoralscanner (Trios3 Move, 3Shape) digital abzubilden (Abb. 6). Die Vollkeramikkrone wurde auf einem gedruckten Arbeitsmodell gefertigt (Abb. 7) und die Okklusion mit Hilfe eines ebenfalls digital erstellten Gegenkiefers im gedruckten Artikulator überprüft (xSNAP, xWERK) (Abb. 8).
Nach der Anprobe des Grünlings (IPS e.max CAD, Ivoclar Vivadent) auf dem Modell wurde die Krone individualisiert und gemäß den Vorgaben des Keramikherstellers gebrannt (Abb. 9-11).
Für die adhäsive Verklebung der Ti-Base (Camlog) und der Keramikkrone mit dem dualhärtenden Bifix Hybrid Abutment Befestigungscomposite (VOCO GmbH) wurde ein gedrucktes Modell mit eingesetztem Laboranalog (DIM-Anlaog, NT-Trading) verwendet.
Die Klebeflächen der e.max CAD-Lithiumdisilikat-Keramikkrone wurden zunächst mit Flusssäure (CeramicEtch, Ivoclar Vivadent) konditioniert (Abb. 12), im Ultraschallbad gereinigt und mit Druckluft getrocknet.
Das Ti-Base Abutment wurde auf der Klebefläche mit Al2O3 (50 µm, 1 bar) abgestrahlt und alle Strahlrückstände wurden sorgfältig entfernt (Abb. 13).
Anschließend wurde das Haftsilan Ceramic Bond (VOCO GmbH) auf die konditionierten Klebeflächen der Keramikkrone sowie des Abutments aufgetragen (Abb. 14).
Die relativen Positionen von Krone und Verdrehschutz des Ti-Base-Abutments wurden an der Keramikkrone und auf dem Einzelzahnmodell für das spätere Zusammenfügen markiert (Abb. 15). Außerdem wurde die Klebehilfsschraube als Platzhalter für den Schraubenkanal in das Abutment eingeschraubt.
Anschließend wurde das Bifix Hybrid Abutment Befestigungscomposite direkt aus der QuickMix Spritze mit kompatibler Mischkanüle auf das Abutment aufgetragen und mit einem Pinsel gleichmäßig verteilt (Abb. 16-18).
Unter Beachtung der zuvor angebrachten Fügemarkierungen wurde die Keramikkrone auf das Abutment aufgesetzt, sodass Überschüsse entstanden. Die schwarze Klebehilfsschraube ragte dabei aus der Keramikkrone heraus, um die Schraubenöffnung frei von Befestigungscomposite zu halten und das Abutment mit dem Laboranalog im Modell zu verschrauben (Abb. 19).
Mit einer Kunststoffhülse (in diesem Fall ein abgeschnittener Speichelzieher) wurde die Laborschraube abgedeckt. Die Verklebung wurde dann auf dem Modell in einer Modellzwinge für die vorgegebene Aushärtezeit des Befestigungscomposites unter Druck fixiert (Abb. 20).
Nach Aushärtung des Befestigungscomposites wurde das Modell aus der Zwinge entfernt, die Laborschraube entnommen und die Krone mit dem verklebten Abutment aus dem Laborimplantat vom Modell gelöst (Abb. 21-23).
Die bewusst belassenen Überschüsse wurden sorgfältig entfernt (Abb. 24), und die gesamte Restauration mit Eve Diapol Polierern (L26Dg, mittel und grob, Vetter) und Ziegenhaarbürstchen mit Fegupol Zirkopol Polierpaste (Feguramed) auf Hochglanz poliert (Abb. 25).
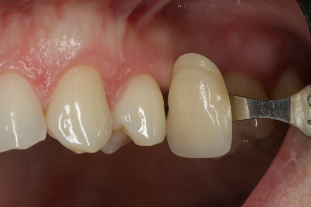
Nach einer erneuten Anprobe und Kontrolle auf dem gedruckten Modell (Abb. 26+27) wurde die fertige Hybrid-Abutmentkrone für zwei Minuten im Isopropanol Ultraschallbad gereinigt, desinfiziert und getrocknet. Anschließend war die Krone bereit für die Einprobe und das Einsetzen.
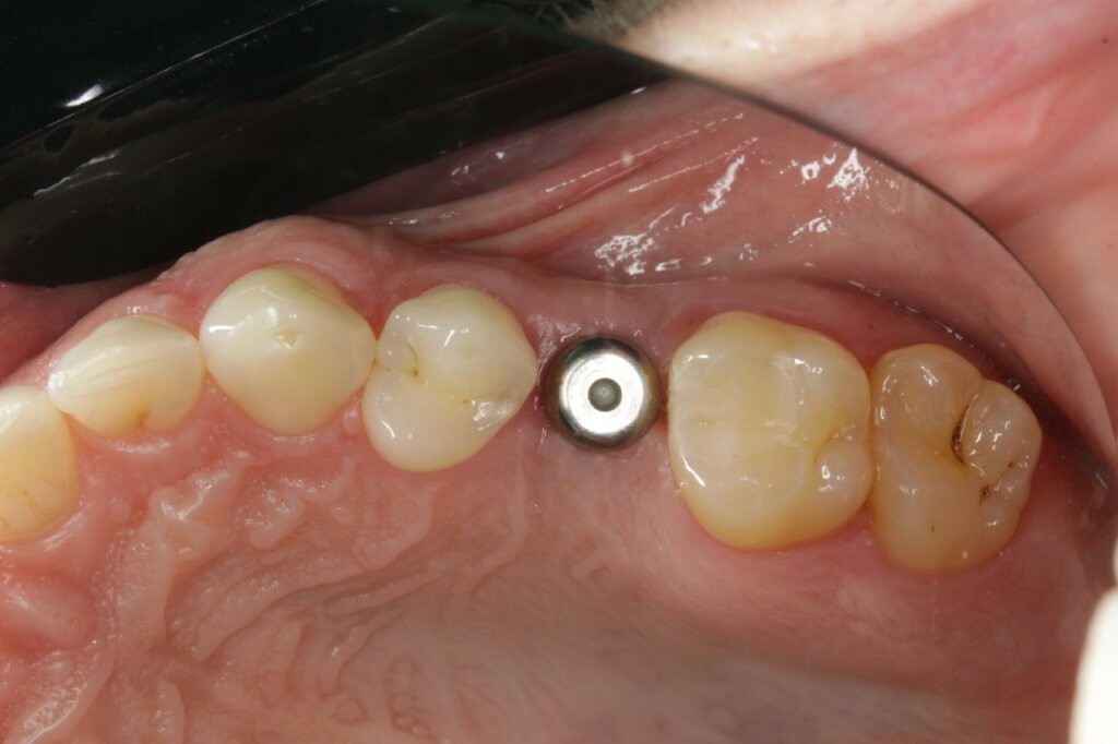
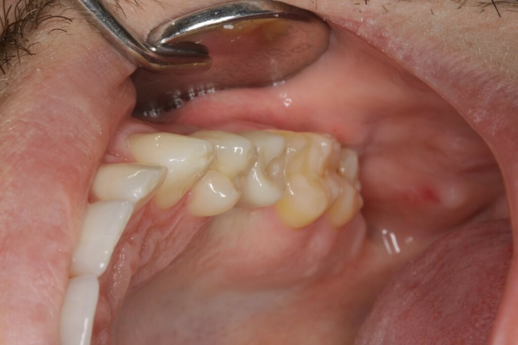
Im Mund wurde zunächst der Gingivaformer entfernt. Die Durchtrittsöffnung wurde mit Chlorhexidin (CHX) gereinigt, und das Implantat mit CHX-Gel zum Verbleib gefüllt. Danach wurde die Hybrid-Abutmentkrone behutsam in das Implantat eingesetzt. Aufgrund ihrer größeren Dimension verdrängte die Hybrid-Abutmentkrone das Zahnfleisch. Nachdem die definitive Position erreicht war und die Abutmentschraube mit einem Drehmoment von 20 Ncm angezogen wurde, wurden die Approximalkontakte mit Zahnseide und die Okklusion mit Okklusionsfolie überprüft (Abb. 28-30). Dank der hervorragenden Passung konnte der Schraubenkanal verschlossen werden. Dafür wurde die Abutmentschraube mit sterilisiertem Teflon-Band abgedeckt (Abb. 31) und dieses fest komprimiert, sodass eine verbleibende Kavität von ca. 2,5-3 mm Tiefe entstand. Dies verhindert das Eindringen von Adhäsiv und Verschluss-Composite in den Schraubenantrieb, was eine einfache und sichere Entnahme der Krone im Falle einer Revision ermöglicht.
Anschließend wurde das Universal-Adhäsiv Futurabond U (VOCO GmbH) gemäß der Gebrauchsinformation in den Schraubenkanal eingebracht (Abb. 32) und oberhalb des Teflonbands verteilt. Das Lösungsmittel wurde anschließend verblasen und das Adhäsiv mit Licht polymerisiert.
Der Schraubenkanal wurde, analog zu einer Klasse-I Füllung, mit opakem Füllungscomposite in passender Zahnfarbe (Admira Fusion OA3, VOCO GmbH) verschlossen und ebenfalls mit Licht polymerisiert (Abb. 33). Die Verwendung eines opaken Composites ist wichtig, um dunkle Schatten auf der Okklusalfläche zu vermeiden.
Abschließend erfolgten die Okklusionskontrolle sowie die Ausarbeitung und Politur des okklusalen Verschlusses mit Feinkorndiamant und Diamantpolierer (Dimanto, Spitze groß, VOCO GmbH) (Abb. 34).
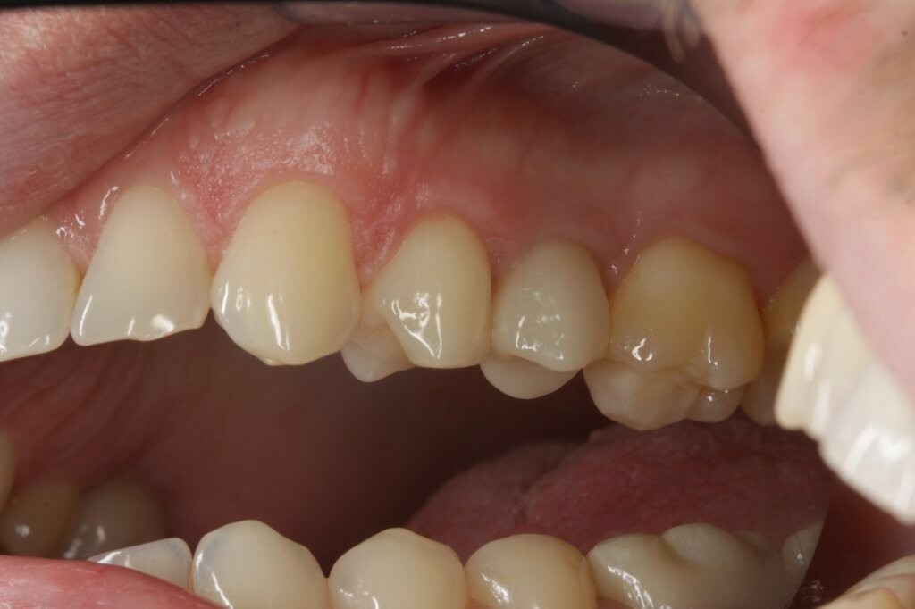
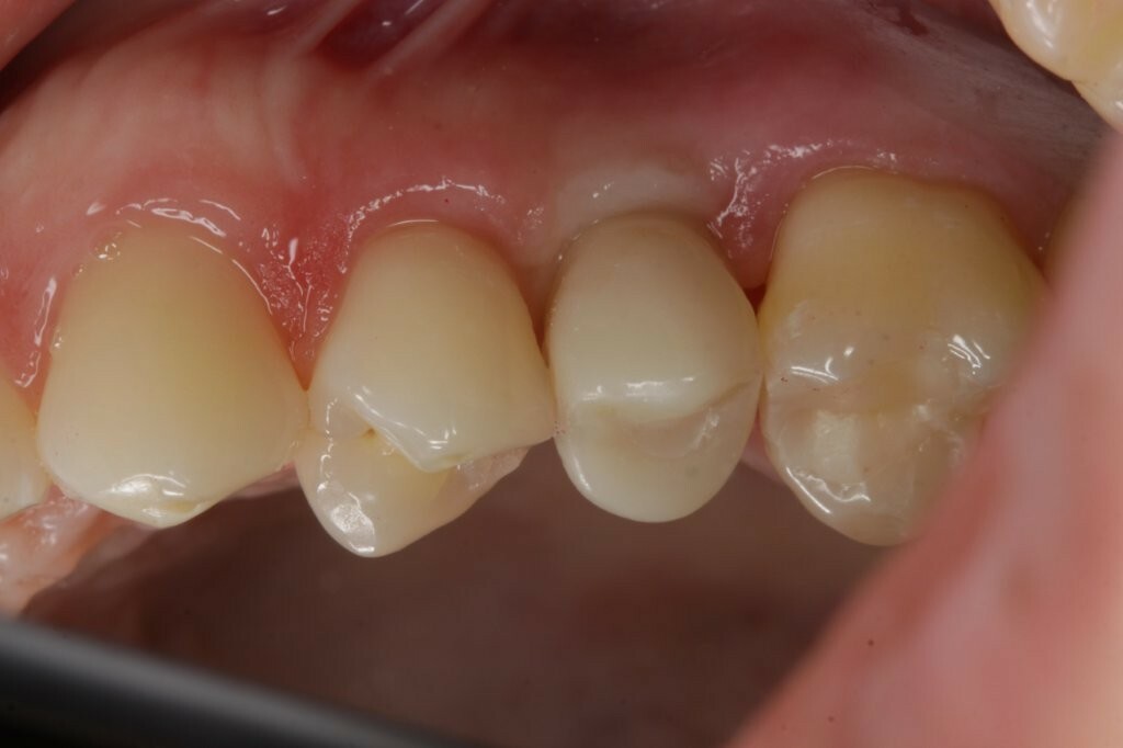
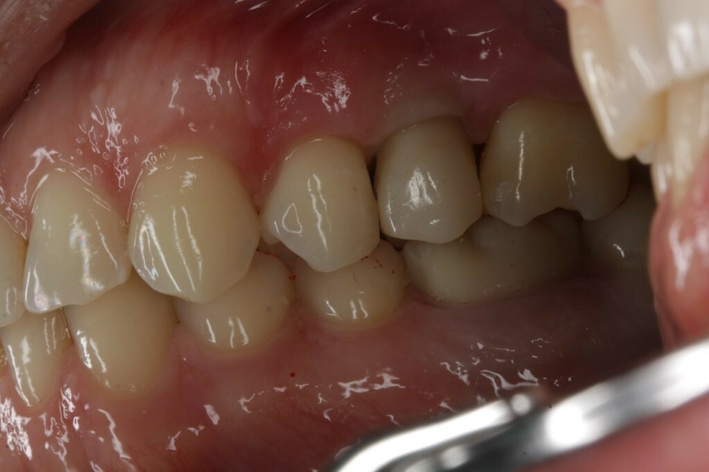
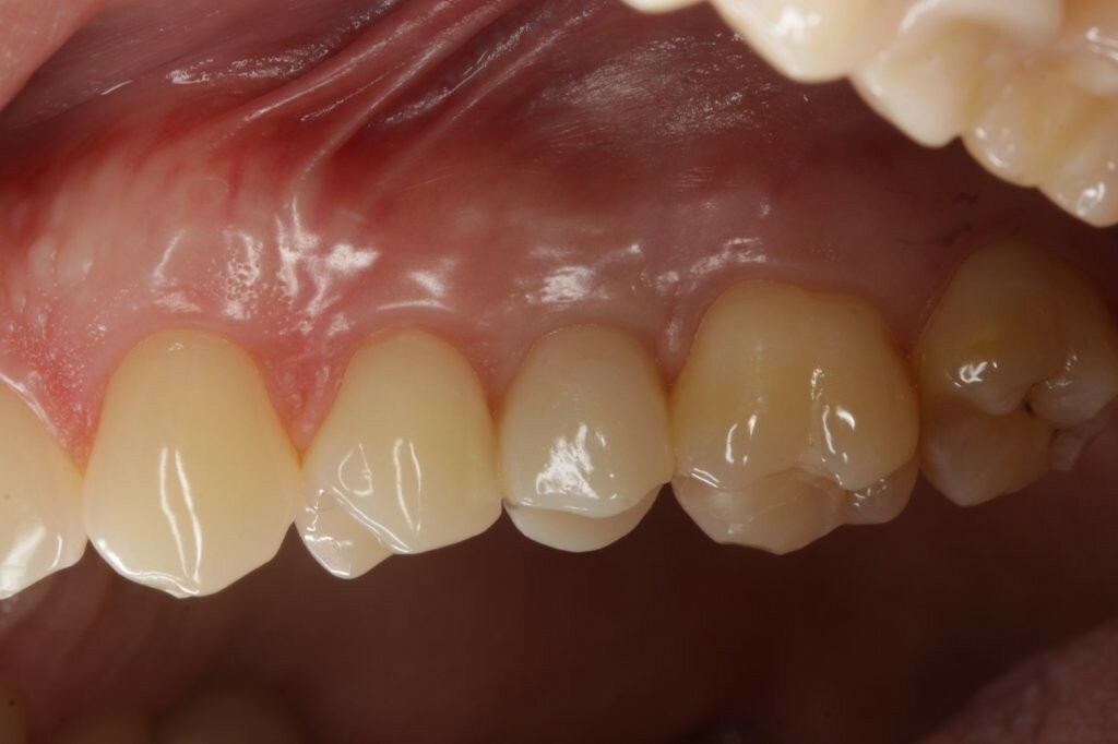
Die Hybrid-Abutmentkrone fügt sich farblich und anatomisch unauffällig in das natürliche Gebiss ein (Abb. 35+36). Auchbei der Nachkontrolle nach zweieinhalb Jahren zeigte sich eine klinisch unauffällige Versorgung, die sich harmonisch in den Zahnbogen eingliedert (Abb. 37-40).
/// Fazit
Der Fall zeigt das Standardverfahren unserer Praxis für die implantologische und prothetische Versorgung von Einzelzahnlücken im Seitenzahnbereich. In den letzten fünf Jahren konnten über 100 Patienten erfolgreich mit okklusal verschraubten Hybrid-Abutmentkronen versorgt werden. Der Ablauf bleibt konstant und die verwendeten Materialien haben sich bewährt. Das adhäsive Befestigungscomposite Bifix Hybrid Abutment sorgt für eine sichere und dauerhafte Verklebung. Die periimplantären Verhältnisse sind durch die Kombination aus konisch verankertem Abutment und okklusal verschraubter Implantatkrone als sehr gut zu bewerten.
– KONTAKT
VOCO GmbH
Anton-Flettner-Straße 1-3
27472 Cuxhaven
www.voco.dental








































