Traumatische Verletzungen im Frontzahnbereich stellen funktionell und ästhetisch eine Herausforderung dar. Außerdem ist bei systemisch vorerkrankten Patienten eine besonders sorgfältige Therapieplanung nötig. Der hier vorgestellte Fall zeigt exemplarisch die Bedeutung einer interdisziplinär koordinierten, zügig durchgeführten Versorgung.
Jonathan Richter
/// Befund
In diesem Fall geht es um einen männlichen Patienten, 54, Diabetes mellitus, leichter Raucher. Er ist seit 2016 Stammpatient im Haus. Der Patient wurde intern zur Wurzelkanalbehandlung überwiesen. Der Schneidezahn 21 wies nach einem Trauma eine unkomplizierte Kronenfraktur in Höhe der Schmelz-Zement-Grenze auf. Der Patient wurde bei AllDent Frankfurt am Karfreitag 2025 im Notdienst erstversorgt. Das Bruchstück konnte sowohl im Notdienst als auch bei der Kontrolluntersuchung bei seinem Stammbehandler, Ans Tawel (M.Sc) am 9. Mai wieder befestigt werden.
Vier Wochen nach der Erstversorgung erschien der Patient zur Wurzelkanalbehandlung. Der Schneidezahn 21 war zu dem Zeitpunkt noch vital. Der Patient klagte allerdings über immer häufiger werdende Schmerzintervalle sowie zunehmende Reaktionen auf Wärme. Das Parodontium zeigte sich ohne pathologischen Befund mit Sondierungstiefen bis drei Millimeter. Über die Fraktur hinausgehende Verletzungen wurden im Notdienst nicht dokumentiert und konnten zum Behandlungstermin ebenfalls nicht diagnostiziert werden.
/// Therapieplanung
Die Therapie wurde in enger interdisziplinärer Abstimmung zwischen dem Endodontologen und dem Prothetiker geplant. Zur langfristigen Versorgung der entstandenen Lücke hatte der Stammbehandler Ans Tawel, M.Sc. eine Keramikkrone vorgesehen. Für ein dauerhaft stabiles Ergebnis war die vorherige Wurzelkanalbehandlung angeraten. Da der Zahn noch vital war, wurde von endodontischer Seite eine Single-Visit-Behandlung geplant. Im Anschluss hatte der Stammbehandler als Provisorium einen adhäsiven Kompositaufbau vorgesehen. Dies sollte auch dem ästhetischen Anspruch im Frontzahnbereich gerecht werden.
/// Therapie
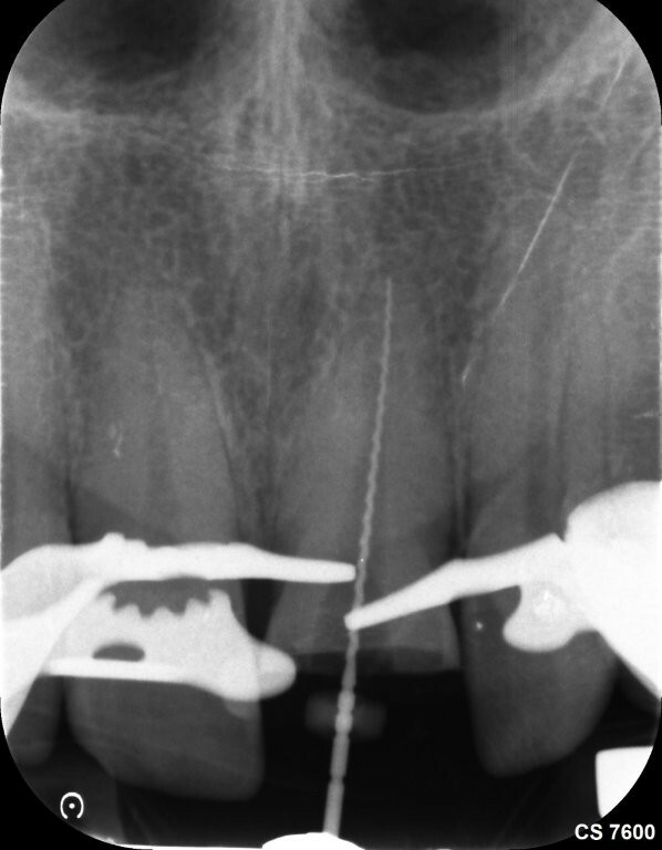
Das Zahnfragment hatte eine gute Passung auf den frakturierten Stumpf. So konnte im Vorfeld ein Silikonabdruck als Vorwall für den Kompositaufbau erstellt werden. Die endodontische Therapie sowie der Füllungsaufbau erfolgten ausschließlich unter dem hochauflösenden OP-Mikroskop (Zumax OMS2350). Die zu behandelnde Region wurde mit Ubistesin 1/200000 lokal betäubt. Anschließend wurde von 11 bis 22 ein Kofferdam angebracht. Der Zahn wurde mit einem konischen Diamanten trepaniert, die Trepanationsöffnung mit Gates-Glidden-Bohrern erweitert. Die Aufbereitung erfolgte mit dem Reciproc Blue System bis zur Größe 50.05.
Es wurde mit 15 Milliliter Natriumhypochlorid und 2,5 Milliliter EDTA gespült. Beide Flüssigkeiten wurden mittels PUI (assive Ultrasonic Irrigation) aktiviert.
Die Wurzelfüllung erfolgte in Continuus Wave Technik und Backfill in zwei Inkrementen mit
Guttapercha und AH Plus als Sealer. Anschließend wurden aufgrund der ovalen Kavität zwei Glasfaserstifte zur Stabilisation der Füllung eingebracht und mit Luxacore adhäsiv verklebt.
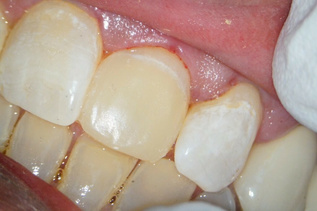
Der provisorische Aufbau erfolgte durch den Endodontologen mit vorab gefertigtem Silikonschlüssel mittels Tetric Flow und Ceram A3,5 als Abschluss der Single-Visit-Behandlung. Die endgültige Krone konnte am 12. Juni 2025 eingegliedert werden.
/// Fazit
Im vorliegenden Fall wäre eine Kronenversorgung ohne Wurzelkanalbehandlung mit mehr Risiko einer späteren Trepanation durch die Krone behaftet gewesen. Weiteres Abwarten oder vitalerhaltende Maßnahmen waren aufgrund der Beschwerden in Kombination mit der vorliegenden Diabetes nicht empfehlenswert. Laut Empfehlung der DGET (2025) zur Endodontie bei Diabetes ist ein zügiges Vorgehen indiziert, um das Risiko irreversibler Entzündungen oder Läsionen zu vermeiden.
www.dget.de/content/2-fuer-zahnaerzte/5-endodontologie/ke_endodontie_und_diabetes_mellitus_2025.pdf
Die Langzeitprognose ist gut, da der Zahn zu Beginn der Behandlung noch vital war und aseptisch gearbeitet wurde. Entscheidend für den Erfolg ist unter anderem die Qualität der Wurzelkanaldesinfektion. Die angewandte passive Ultraschallspülung mit Natriumhypochlorid und der organischen Säure EDTA stellt eine sehr effektive Methode dar. Zudem zeigt eine Cochrane-Übersichtsarbeit von 2022 keine signifikanten Unterschiede in der Effektivität zwischen ein- und mehrzeitigen Behandlungen. https://pubmed.ncbi.nlm.nih.gov/36512807/
Insgesamt ist die dargestellte Lösung weniger invasiv und damit patientenorientierter. Eine alternative Extraktion mit Implantatversorgung wäre aufgrund des nötigen Weichgewebsmanagements deutlich anspruchsvoller gewesen, insbesondere aufgrund der bestehenden Vorerkrankung. Nach dem effektiven Verschluss des Wurzelkanals war eine sofortige Restauration möglich, was auch der Ästhetik dient.
Die Vorteile der aufgezeigten Behandlungsstrategie liegen nicht nur in der Risikominimierung für den Patienten, sondern auch in der nahtlosen Verzahnung mit der prothetischen Versorgung: ein Termin weniger, keine erneute Anästhesie, kein Risiko einer bakteriellen Rekontamination. Somit eine interdisziplinäre Therapie, die funktionell, restaurativ und ästhetisch überzeugt. Der Patient konnte in weniger als zwei Monaten vollständig ästhetisch versorgt werden.
– AUTOR
Jonathan Richter, Regionalleitung Endodontie
– KONTAKT
AllDent Zahnzentrum Frankfurt GmbH
Kaiserstraße 1
60311 Frankfurt
www.alldent-frankfurt.de










