SOCKETOL ist ein schmerzlinderndes, antiseptisches und wundheilungsförderndes Arzneimittel, welches zur Behandlung von entzündeten Extraktionswunden bzw. einer Alveolitis sicca, Irritationen durch freiliegende Nervenenden, nach einem Verlust des Blutkoagulums oder eines Dolor post extractionem verwendet wird. Die Hauptwirkstoffe sind das Lidocainhydrochlorid, Phenoxyethanol, Thymol und Perubalsam.
Dr. Elena Wissmann
In der vorliegenden Anwenderstudie soll die vom Hersteller angegebene Wirkung der SOCKETOL-Paste anhand einer festgelegten Gruppe von 60 Patienten mit „entzündeten“ Alveolen untersucht werden. Ebenfalls beobachtet werden 20 weitere Patienten einer Kontrollgruppe mit ähnlichen Extrationswunden, ohne eine Anwendung von SOCKETOL. Die Anzahl der beobachteten Extraktionsalveolen beträgt somit 80.
/// Material und Methode
In der vorliegenden Arbeit wird das schmerzlindernde Pharmazeutikum SOCKETOL zur primären Wundversorgung von Alveolen nach der Extraktion von ursprünglich stark druckdolenten und damit entzündeten, medizinisch nicht mehr erhaltungswürdigen Zähnen beziehungsweise Wurzelresten angewendet. Die Indikation zur Extraktion beruht in allen 80 Fällen primär auf Druckdolenz mit Lockerungsgrad. Weitere Gründe der Nichterhaltungswürdigkeit werden ebenfalls dokumentiert, diese fließen aber nicht in die Auswertung mit ein.
In der Studie wurden in 31 Fällen im Vorfeld der Wundversorgung mit SOCKETOL ein einwurzeliger Zahn (X1) extrahiert, in 20 Fällen ein mehrwurzeliger Zahn (X2) und in 11 Fällen wurde ein Wurzelrest (X3) entfernt. In weiteren 16 Fällen war zusätzlich eine assoziierte chirurgische Freilegung (ost 1) im Rahmen der Extraktion notwendig, in weiteren 2 Fällen war eine zusätzlich assoziierte chirurgische Freilegung aufgrund eines retinierten und/oder verlagerten Zahns notwendig (ost 2).
Die Art der Extraktion ist für die Auswertung zweitrangig, wohl aber, ob nach der Extraktion vernäht wurde oder nicht. Deshalb unterscheiden wir in dieser Studie zwei Situationen in denen SOCKETOL zur Anwendung kommt: SOCKETOL auf die Naht appliziert und SOCKETOL in die Alveole eingebracht, jeweils post extractionem.
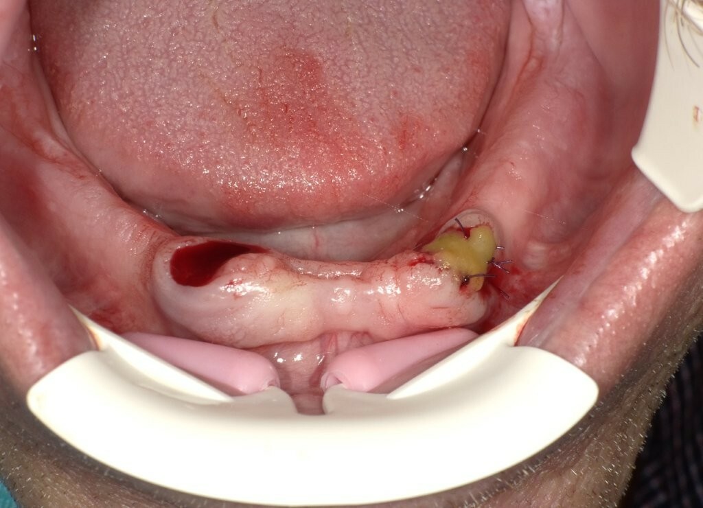
Die Probandengruppe besteht aus insgesamt 80 Extraktionsalveolen. Davon wird in 40 Fällen die Alveole kürettiert und mit einer Naht versorgt. Über die Naht wird eine kleine Menge der SOCKETOL-Paste, ein etwa 0.4 -0.5 cm langer Streifen der Paste, mit einem sterilen Tupfer in die vernähte Wunde leicht gedrückt. Der Tupfer wird anschließend zur Blutstillung noch 15 Minuten in situ belassen. Erst dann wurde der Patient entlassen. In weiteren 20 Fällen wird die Extrationsalveole kürettiert und anschließend zu 1/3 mit SOCKETOL gefüllt. Hierbei wurde darauf geachtet, dass sich ein Gebilde ähnlich wie ein Blutkoagulum mithilfe der SOCKETOL-Paste bildete. Auch bei diesen Probanden wird anschließend ein steriler Tupfer eingebracht und für circa 15 Minuten die Blutstillung abgewartet.
20 weitere Fälle dienten als Kontrollgruppe. Von diesen wurde in 10 Fällen die Extrationsalveole nach der Kürettage mit einer Naht verschlossen und ein Tupfer für 10-15 Minuten zur kompletten Blutstillung in situ belassen. Bei den anderen 10 Fällen wird die Alveole nach der Kürettage mit einem Tupfer zur Blutstillung versorgt, nach 10-15 Minuten wird dieser entfernt.
Die OP-Region wird am Folgetag untersucht und auf folgende Kriterien hin überprüft: Wohlbefinden des Patienten, Schwellung, dehiszente Nähte, Notwendigkeit einer Wundrevision. Dieselbe OP-Region wird 6-10 Tage nach dem Eingriff erneut überprüft. Bei dieser zweiten Kontrolle wird die Wundheilung überprüft. Hierfür ist der Wundverschluss von Interesse. Als sehr gut wird dieser eingestuft, wenn das Zahnfleisch komplett verschlossen ist, als gut, wenn dieser anteilig verschlossen ist, als befriedigend, wenn bei der zweiten Kontrolle die Wundheilung nicht abgeschlossen ist, immer noch Beschwerden, bzw. zusätzlicher Behandlungsbedarf vorliegt.
/// Ergebnisse
Die Anwendung von SOCKETOL als schmerzlinderndes Therapeutikum zeigt in allen 20 untersuchten Fällen, in denen es in die Extraktionsalveole und in allen 40 Fällen, in denen es auf die Naht appliziert wurde, hervorragende Ergebnisse. Lediglich bei einem einzigen Probanden von insgesamt 40 bei denen es auf die Naht aufgebracht wurde, war die Extrationswunde nach 10 Tagen nicht vollständig verschlossen.
In der Kontrollgruppe der restlichen 20 Probanden, die nicht mit SOCKETOL behandelt wurden, war hingegen die Wundheilung bei allen Patienten nach 10 Tagen nicht vollständig abgeschlossen. Ohne die Verwendung von SOCKETOL müssen wir für die Weichgewebsheilung mit 4 – 6 Wochen rechnen (ITI Treatmentguide 2018, Band 10: S. 116 f). Demzufolge führt SOCKETOL visuell zu einer schnelleren und unproblematischeren Wundheilung. Durch die gute Gewebehaftung verbleibt es in situ und ersetzt den Verlust des Blutkoagulums, was zu einer verbesserten, unproblematischeren Wundheilung beiträgt (Zuhr und Hürzeler 2012: Plastische ästhetische parodontale und Implantatchirurgie: S. 70 f).
In allen 60 untersuchten Fällen, in denen SOCKETOL angewendet wird – sei es auf Naht oder in der Alveole – haben die Patienten bei der ersten Untersuchung am Folgetag keine Beschwerden. Nach 6 bis 10 Tagen kommt es zu einem kompletten Wundverschluss. Zudem wird SOCKETOL nach 5 bis 6 Tagen vollständig resorbiert.
/// Diskussion
SOCKETOL hat eine überschaubare Anzahl an Inhaltsstoffen. Allergien gegen Lidocain, Perubalsam oder einen der anderen Inhaltsstoffe sind laut Hersteller möglich. Das Stoffwechselprodukt des Lidocains, das 2,6 Xylidin, sollte aufgrund der Hinweise aus in-vitro-Tests auf eine mutagene Wirkung, die der Hersteller in seiner Produktbeschreibung aufführt, weiter beobachtet werden. Da SOCKETOL nur in sehr geringen Mengen, zwischen 200 – 300 mg, je nach Größe der Alveole, zu Anwendung kommt, kann von einer schädlichen Wirkung Abstand genommen werden.
Die Anwendung von SOCKETOL ist für den „Dolor post extractionem“ bereits bekannt (Buch et. al. 2005: ZahnmedizinReport, Ausgabe 7, Allgemeine Zahnheilkunde), mit guten Ergebnissen. Eine Langzeitstudie könnte Aufschluss darüber geben, ob bei einer Anwendung von SOCKETOL das Blutkoagulum, welches sich, aufgrund der guten Gewebehaftung des SOCKETOLs, gut formieren kann und auf Zahnfleischhöhe verbleibt, förderlich für eine gute Wundheilung sein kann, so dass die Knochenhöhe erhalten bleibt oder ob es zu der typischen Einstülpung post extractionem kommt und damit zu einem Verlust der Knochenhöhe/-breite.
Da SOCKETOL – als lokal appliziertes Antiseptikum – aufgrund seiner Gewebehaftung gut wirkt, kann überlegt werden, ob der Anwendungsbereich erweitert werden könnte, beispielsweise in der lokalen Behandlung von parodontalen Abszessen oder entzündeten Knochentaschen – eventuell auch in Verbindung mit Knochenersatzmaterialien. Auch im Rahmen der Behandlung der Periimplantitis kann überlegt werden, ob die Anwendung von SOCKETOL eine Verbesserung bringen könnte. Eine veränderte Applikationsform müsste hierfür in Betracht gezogen werden.
– AUTORIN
Dr. Elena Wissmann
– KONTAKT
Zahnarztpraxis an der St. Mauritius Kirche
Wilhelm-Barth-Str.7
97230 Estenfeld
www.zahnaerztin-estenfeld.de



